インプラント治療

歯の代わりとしての治療の中では、インプラントは 間違いなく医学的に最も理想的な治療です。

世界の先進国では治療の第一選択として普及しています。

インプラント治療とは歯が抜けてなくなったところにチタン製のスクリューを顎の骨を削って精密に入れ込み、数か月待って完全に顎の骨に引っ付いてからその上に人工のかぶせ物をつくります。天然の歯があったころとほぼ同じくらい硬いものが快適に食べることが可能になります。
世界の先進国では歯の代わりとしての治療の第一選択として普及していますが、残念なことにどこの国でも保険治療ではカバーできないので高額な治療費がかかりますが、間違いなく医学的には最も理想的な治療です。
歯科治療でありながら外科的要素の強い治療ですので 当院では滅菌レベルを大学のオペ室レベルに引き上げて日常診療とは明確に分けて行っています。最もインプラント治療において恐れるべきことは感染です。

他の治療方針も説明せずにインプラントだけを強引に勧める医院は要注意です。
必ずメリット・デメリットを理解し、医学・経済など多方面から治療計画を話し合って決めるべきです。決していつもインプラントが最善とは限りません。

インプラント治療のメリット

  • ① 周りの歯を守ってくれる
  • ② 見た目が美しい(自信を持って笑える)
  • ③ 美味しく食べられる
  • ④ しゃべりやすい、かつ舌がよくなる、聞き返されない
  • ⑤ 食べ物がはさまりにくい、磨きやすい
  • ⑥ ものがはさまって痛くなることがない
  • ⑦ 着脱の手間がいらない(入院の時に助かる)
  • ⑧ 脳の血液の循環がよくなり、モノ忘れや認知症の予防にも
  • ⑨ 運動機能が改善される
  • ⑩ 輪郭がひきしまり、顔だちが若くなる
  • ⑪ 成人病予防
  • ⑫ 入れ歯のように口臭の原因になることがない
  • ⑬ ご友人と旅行に気兼ねなくいける
  • ⑭ 人生をもう一度楽しめる

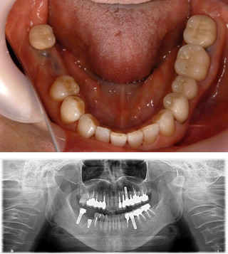
インプラント治療例

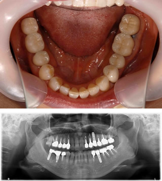
インプラント治療例1

  • 1)平成24年10月9日 初診 62歳女性左下3本欠損

  • 2)平成24年10月26日 インプラント3本埋入手術

    3)平成25年2月19日 上部構造セット

  • 4)治療後。現在もメンテ来院中。

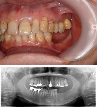
インプラント治療例2

  • 1)平成26年11月21日 初診 64歳女性
    右下の歯(矢印の歯)他院で抜いたほうがいいと言われ相談に来院。過去に3本他院にてインプラント経験あり。当医院でCT撮影をしたところはっきり歯牙に破折が起きており抜歯が必要と判断しました。

  • 2)患者様もCT画像を見て納得されて当院でのインプラントを希望されました。抜歯後、歯肉が治るのを待ってインプラントを埋入しました。

  • 3)平成27年6月2日 右下 旧インプラントと連結して上部構造をセットました。

インプラント治療の流れ

※医院により、若干流れが変わる場合がございます。

  • 1.ご予約

    いきなり初診でインプラント手術になることはありません。現在他院にかかっていて検討中の方もお気軽に予約されてください。セカンドオピニオンのみご希望の方は当院のお昼休みを利用してお話をお聞きしています。その場合はレントゲンをご持参くだされば詳しい説明ができます。

  • 2.初診・カウンセリング

    まずは保険治療の範囲でレントゲンや歯周病診査を行います。歯石除去や虫歯の治療はインプラント治療前に終了していることが理想です。患者さんの全身状態、内服薬や持病の確認をして患者さんのご希望をお聞きします。インプラントのおおまかな歴史、信頼性、利点、欠点、治療費を説明します。 患者さんの同意が得られたらまずはパノラマレントゲンやCT検査をして即座にお見積もりを作成します。
    治療費の同意ができたら手術の危険性の説明をし同意書をかわし当院にて血液検査を行い最終審査に入ります。血液検査に異常がなければ手術日を決定します。治療費の支払い方法はご相談に応じますが原則手術日までに前納です。

  • 3.治療の実施

    手術日は次の日も来院できる朝一番の10時にしています。診療室は前の日から空気清浄など行い大学レベルの滅菌レベルにてインプラント埋入手術を行います。オペ後は洗浄になんどか来院してもらい。手術の傷口がきれいになったら一安心です。その後下顎なら3か月、上顎なら6か月待ってから歯をつくります。多数歯がない方は一時的に取り外し式の義歯をつくります。しっかり顎に引っ付いたらその上に型をとって歯をつくりかみ合わせを調整してセメントで接着します。

  • 4.アフターケア

    毎月、インプラントを中心にメンテナンスをしばらく行います。清掃レベルが高い患者さんはメンテナンス間隔を延ばしていきます。

インプラント治療の費用例

インプラントの種類も多数ご用意しておりますので治療費も様々です。個々に応じた治療計画を検討しましょう

右下2本欠損の場合で顎の豊かな症例に最高の材料を使用した場合 バイオホライズンインプラント オールレーザーロック(最高品質) 2本 ¥600,000
ジルコニアセラミック(最高品質) 2本 ¥200,000
CT 血液検査  ¥20,000
合計 ¥820,000
同じ症例で標準的な材料を使用した場合 レガシーインプラント 2本 ¥400,000
メタル上部構造 2本込
CT 血液検査 ¥20,000
合計 ¥420,000
下顎インプラントオーバーデンチャーの場合 インプラント2本 ¥500,000
インプラント義歯 ¥200,000
CT 血液検査 ¥20,000
合計 ¥720,000

よくある質問

Q.インプラントは一生もちますか?

はっきり申し上げることはできません。
患者様のブラッシングの程度、定期的なメンテナンスの有無によりインプラントのもちは左右されます。

Q.何歳でもインプラントはできますか?

医学的には何歳でも可能ですが全身状態に左右されます。

Q.インプラントは痛いのではと心配です。

抜歯と同程度と考えていただいて結構です。

Q.インプラントの治療期間はどれくらいですか?

インプラント自体を埋め込む1次手術 上歯は6か月、下歯は3か月おいて2次手術を行い、その後約1か月かけて被せ物を被せます。

Q.費用はどれくらいかかりますか?

基本的に1本あたり、診断料、手術料、被せ物料を含め税抜き約30万円程度ですが、ケースにより変動しますのでご相談ください。

全ての質問を見る